Zahnpflege
Ein sauberer Zahn wird selten krank: die richtige Mundhygiene
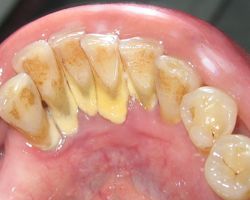
Beugen Sie Karies und Parodontalerkrankungen vor - mit der richtigen Mundhygiene.Zahnbeläge müssen gründlich entfernt werden, besonders auch zwischen den Zähnen. Die Zähne sollten nach jedem Essen, mindestens jedoch zweimal täglich gereinigt werden.
Verwenden Sie eine Zahnbürste mit kleinem bis mittlerem Kopf.So kann man auch die Seitenzähne besser reinigen.
Bei "multi-tufted"-Bürsten ist jede einzelne Borste abgerundet, um das Zahnfleisch zu schonen.
Wir empfehlen Zahnbürsten mit Wechselkopf, die Erstanschaffung ist zwar etwas teurer, aber nach mehreren Wechseln wird die Bürste günstiger, außerdem schont das umweltfreundliche Konzept die Natur.
Sie sollten Ihre Zahnbürste alle 6 bis 8 Wochen wechseln, denn auch die künstlichen Borsten verschleißen und werden dadurch unbrauchbar.
In den meisten Fällen ist die "modifizierte Bass-Technik" die richtige Zahnputztechnik.
Verwenden Sie eine Zahncreme mit Fluorid. Putzen Sie für drei Minuten, damit die Fluoride in der Zahncreme ihre optimale Wirkung entfalten.
Wöchentliche Intensivfluoridierung mit speziellen Gelen oder Lacken remineralisiert den Zahnschmelz.
Benutzen Sie regelmäßig Zahnseide. Gewachste Zahnseide ist leichter zu händeln. Da die Reinigungsleistung von ungewachster Seide höher ist, sollten Sie umsteigen, wenn Sie die Handhabung beherrschen. Wir empfehlen fluoridierte Zahnseide.
Mit Zahnpflege-Kaugummi können Sie tagsüber Schutzlücken schließen, wenn Putzen nicht möglich ist.
Kommen Sie zweimal jährlich zum Zahnarzt - auch wenn gar nichts weh tut. Dann kann der Zahnarzt die Zähne regelmäßig kontrollieren und eventuell frühzeitig behandeln. Das verursacht nicht nur weniger Schmerzen, sondern auch geringere Kosten.
Bei Ihren regelmäßigen Kontrollbesuchen in der Praxis wird der entstandene Zahnstein entfernt.
Nutzen Sie unser professionelles
Propylaxekonzept.
Wir weisen Sie in die für Sie geeignete Putztechnik ein und beraten Sie über die für Sie geeigneten Zahnpflegeprodukte.
Wir weisen Sie in die für Sie geeignete Putztechnik ein und beraten Sie über die für Sie geeigneten Zahnpflegeprodukte.
Bitte sprechen Sie uns an. Wir beraten Sie gerne.
jüngste Aktualisierung 01.09.2025
